Người đàn ông, 53 tuổi, tìm đến Bệnh viện Bệnh Nhiệt đới Trung ương trong tình trạng ngứa toàn thân, nổi mẩn kéo dài, đau vùng hạ sườn phải từng cơn. Những biểu hiện này đeo bám gần một năm, dù anh thăm khám nhiều nơi, điều trị bằng nhiều loại thuốc nhưng không tìm được nguyên nhân.

Triệu chứng chủ đạo là ngứa khiến bệnh dễ bị xếp vào nhóm bệnh da liễu thông thường, làm chậm quá trình chẩn đoán, trong khi căn nguyên lại xuất phát từ thói quen ăn uống của bệnh nhân.

Anh thường xuyên tiếp khách bằng các món tái sống như tiết canh, thịt tái, dê tái, gỏi cá, nội tạng động vật và rau sống không đảm bảo vệ sinh. Đây là những nguồn lây phổ biến của sán lá gan lớn, giun đũa chó mèo và nhiều loại ký sinh trùng.

Thói quen ăn uống không an toàn là yếu tố nguy cơ hàng đầu khiến bệnh nhân nhiễm ký sinh trùng ”, bác sĩ CKII Vũ Thị Thu Hương, Giám đốc Trung tâm Khám chữa bệnh theo yêu cầu và Quốc tế cho biết.

Thói quen ăn uống khiến người đàn ông nhiễm sán lá gan, ngứa cả năm- Ảnh 1.

Bác sĩ tư vấn, khám sức khoẻ cho người bệnh. (Ảnh: Thanh Sơn)

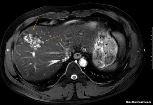
Kết quả xét nghiệm và chẩn đoán hình ảnh cho thấy anh dương tính với sán lá gan lớn và giun đũa chó mèo. Đồng thời, bác sĩ phát hiện một ổ áp xe gan kích thước gần 5 cm, kèm tăng chỉ số viêm và bạch cầu ái toan. “ Ổ áp xe khá lớn, nếu đến muộn có thể vỡ và gây nhiễm khuẩn huyết ”, bác sĩ Hương nhận định.

  • Người đàn ông 41 tuổi gan đầy ổ sán lá gan vì thói quen này của nhiều người Việt

    Người đàn ông 41 tuổi gan đầy ổ sán lá gan vì thói quen này của nhiều người ViệtĐỌC NGAY

Bệnh nhân được điều trị bằng phác đồ gồm chọc hút ổ áp xe, thuốc diệt ký sinh trùng, kháng sinh và theo dõi liên tục các chỉ số viêm, men gan. Sau thời gian điều trị nội trú và theo dõi ngoại trú, bạch cầu ái toan trở về bình thường, ổ áp xe thu nhỏ và không còn dịch mủ. Triệu chứng sốt, đau hạ sườn và ngứa giảm rõ rệt, sức khỏe bệnh nhân hiện đã ổn định.

Bác sĩ Hương cho biết nhiễm ký sinh trùng thường diễn tiến âm thầm, dễ bị bỏ sót vì khởi phát bằng những triệu chứng “mờ nhạt” như ngứa kéo dài. Khi ký sinh trùng xâm nhập cơ quan nội tạng, bệnh có thể trở nên nguy hiểm: vào gan gây áp xe, vào mắt làm giảm thị lực, vào não gây đau đầu, co giật.

Trường hợp của bệnh nhân trên cho thấy sự chủ quan với đồ ăn tái – sống có thể dẫn đến những tổn thương nghiêm trọng. Sau điều trị, anh được khuyến cáo tái khám định kỳ và thay đổi hoàn toàn thói quen ăn uống để tránh tái nhiễm.

Để phòng ngừa ký sinh trùng, bác sĩ khuyến cáo người dân duy trì thói quen ăn chín uống sôi, tránh các món tái sống, rửa sạch rau củ trước chế biến; giữ vệ sinh cá nhân, rửa tay bằng xà phòng trước khi ăn và sau khi đi vệ sinh giúp ngăn chặn nhiều loại ký sinh trùng.

Người dân nên tẩy giun định kỳ và giữ vệ sinh môi trường sống. Khi có các biểu hiện kéo dài như ngứa, đau bụng, rối loạn tiêu hóa hoặc có nguy cơ phơi nhiễm, người dân cần đến cơ sở y tế để được phát hiện và điều trị sớm.

Theo: https://kenh14.vn/lan-dau-tien-tai-viet-nam-noi-thanh-cong-ngon-tay-bi-dut-roi-sau-25-gio-thieu-mau-cho-mot-thuy-thu-215251209151448199.chn